El papel del Single Crystal en la nueva generación de ultrasonidos
La evolución del ultrasonido médico ha mejorado notablemente la precisión diagnóstica en distintas especialidades.
La nueva generación de ultrasonidos
Uno de los avances más importantes de la nueva generación de ultrasonidos es la tecnología Single Crystal, incorporada en transductores diseñados para optimizar la calidad de señal, la resolución de imagen y la penetración acústica.
¿Qué es la tecnología Single Crystal?
A diferencia de los transductores convencionales, la la nueva generación de ultrasonidos que utilizan materiales policristalinos y pueden generar pérdida de energía, la tecnología Single Crystal emplea un cristal piezoeléctrico único y continuo. Esto permite:
- Mayor eficiencia en la transmisión de ondas ultrasónicas
- Menor pérdida de energía
- Mayor estabilidad de señal
- Mejor sensibilidad en la recepción de ecos
Como resultado, se obtienen imágenes más claras, profundas y detalladas.
Ventajas principales
La tecnología Single Crystal aporta beneficios clave para el diagnóstico médico:
- Mayor penetración de señal: útil para visualizar estructuras más profundas, especialmente en cardiología.
- Mejor resolución de imagen: ofrece una señal más limpia y una mejor definición anatómica.
- Mayor sensibilidad en Doppler: facilita el análisis preciso del flujo sanguíneo.
- Mejor relación señal-ruido: reduce interferencias y mejora la calidad global de la imagen.
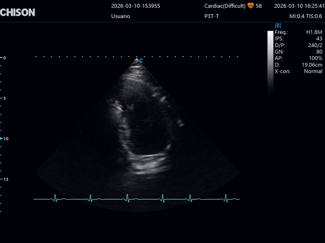
Importancia en ecocardiografía
En cardiología, esta tecnología mejora la capacidad del ultrasonido para evaluar en tiempo real:
- La función ventricular
- El movimiento del miocardio
- El funcionamiento de las válvulas cardíacas
- El flujo sanguíneo intracardíaco
- Alteraciones estructurales del corazón
Esto permite realizar evaluaciones cardíacas más precisas y confiables.
Ultrasonidos de nueva generación como el XBit 90 integran tecnologías avanzadas que mejoran el rendimiento clínico. Gracias al uso de transductores Single Crystal, permiten:
- Mayor detalle en estudios ecocardiográficos
- Mejor visualización de estructuras cardíacas complejas
- Evaluación más precisa del flujo sanguíneo
Optimización del diagnóstico cardiovascular









